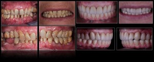
Fullmouth

Riabilitazione completa  superiore e inferiore con overlay posteriori in disilicato di litio e corone anteriori.

LAB_website.092-min LAB_website.093-min LAB_website.094-min LAB_website.095-min LAB_website.096-min LAB_website.097-min LAB_website.098-min

Corone posteriori in zirconia monolitica e corone e faccette anteriori in disilicato di litio.

LAB_website.099-min LAB_website.100-min LAB_website.101-min LAB_website.102-min

Overdenture superiore in resina acrilica con denti in disilicato di litio su barra in titanio e toronto bridge inferiore in zirconia stratificata su impianti.

LAB_website.103-min

Bloccaggio superiore in metallo ceramica e protesi rimovibile con denti in disilicato di litio e toronto bridge inferiore in zirconia stratificata su impianti.

LAB_website.104-min

Toronto superiore e inferiore in zirconia stratificata su impianti.

LAB_website.105-min